介紹

融和西醫物理治療的關節鬆動術與中醫傳統整復,獨創手法,輕柔安全
脊椎側彎矯正強調先矯正骨盆與胸骨,再矯正中軸的脊椎
嚴重的椎間盤突出,配合超音波、指法、牽引
徒手整型手法,改善下巴、臉型、腦部變形

2020年8月8日 星期六

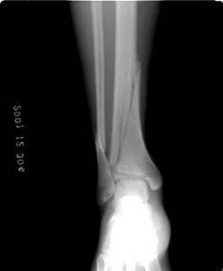
腳踝重複扭傷

腳踝經常扭傷,其實很容易在重複傷害下產生腓骨骨折。 

腓骨骨折介紹

除了影像學,在裂點下方的骨頭會往後方跑,上方往前方跑。 嚴重一點,一眼就可以看的出來骨頭歪曲變型了。

中國傳統的骨骼復位手法可以讓這種問題很輕鬆就處理好,單純打石膏沒有復位是沒用的。腳踝內翻,會一直向上影響到骨盆與脊椎。

要六到八周才會完全穩定,期間避免跑跳。

這種骨折通常要如何復位?

會用手法輕輕撥離沾黏,在裂面撐出一個空間來。再利用骨膜的彈性,進行復位。


沒有留言:

張貼留言